• العربية
  • فارسی
Brand
  • Iran Insight
  • Politics
  • Economy
  • Analysis
  • Special Report
  • Opinion
  • Podcast
  • Iran Insight
  • Politics
  • Economy
  • Analysis
  • Special Report
  • Opinion
  • Podcast
  • Theme
  • Language
    • العربية
    • فارسی
  • Iran Insight
  • Politics
  • Economy
  • Analysis
  • Special Report
  • Opinion
  • Podcast
All rights reserved for Volant Media UK Limited
volant media logo

Iranian Coroner Claims Mahsa Amini Did Not Die Of Blows To Body

Iran International Newsroom
Oct 7, 2022, 14:38 GMT+1Updated: 17:42 GMT+1
Mahsa Amini, undated photo
Mahsa Amini, undated photo

An Iranian coroner's report into the death of Mahsa Amini said she did not die due to blows to the head but from multiple organ failure caused by cerebral hypoxia.

The death of 22-year-old Amini while in the custody of Iran's morality police has ignited three weeks of nationwide protests. Young women and men have simply rebelled against enforcement of restrictive Islamic rules on their lifestyles and demand an end to religious government.

Her father has said she suffered bruises to her legs and has held the police responsible for her death.

The coroner's report said her death was "not caused by blow to the head and limbs". It did not say whether she had suffered any injuries. The report did say she fell while in custody due to "underlying diseases".

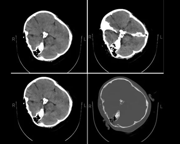
Iran International obtained Amini’s brain CT scan from hospital sources in September that shows serious injuries to her skull. Hospital staff also confirmed that she was in a coma upon arrival. Fars news agency affiliated with the Revolutionary Guard confirmed that the CT scan belonged to Amini. Moreover, her photos in the hospital show her bleeding from the right ear, a definite sign of brain injury.

Mahsa Amini's brain CT scan obtained by Iran International, September 2022
100%
Mahsa Amini's brain CT scan obtained by Iran International

"Due to the ineffective cardio-respiratory resuscitation in the first critical minutes, she suffered severe hypoxia and as a result brain damage," the coroner’s report said.

However, Iranian Hengaw Human Rights Organization responded in a tweet that Iran’s Legal Medical Organization is not an independent entity and its opinion in politically sensitive cases are issued under the supervision of its security department. “The assessment issued by this organization in Mahsa Amini’s case is devoid of any credibility and legal proof,” Hengaw said.

Bleeding from the right ear can be seen in this hospital photo of Mahsa Amini
100%
Bleeding from the right ear can be seen in this hospital photo of Mahsa Amini

When Amini’s incident became public in mid-September, Iranian officials tried to claim that she had previous brain problems or chronic health issues that led her to lose consciousness during her arrest. As evidence emerged that her skull was broken, they stopped making such claims for a while, but after using brutal force against protesters, they are now sticking to their guns, denying wrongdoing.

That tactic also relates to cases of at least two teenage girls who were killed during protests. Officials claim that Nika Shakrami and Sarina Esmailzadeh both fell from rooftops and died. In case of Esmailzadeh, Amnesty International has verified that she was beaten on the head by heavy batons by security forces and taken to hospital by her friends but she died before any medical help was administered.

Activists have called for nationwide protests on Saturday and government attempts to falsely explain away these deaths may further inflame popular anger. But the Islamic Republic has rarely accepted responsibility or guilt in similar situations.

After three years, the government has not issued a report on protests in November 2019 when at least 1,500 demonstrators were gunned down or otherwise killed by security forces who were ordered to stop the unrest at any cost.

Amnesty International said September 30 that a similar order was issued at the onset of the current protests.

Most Viewed

Iran diplomacy wobbles as factions compete to avoid looking soft on US
1
INSIGHT

Iran diplomacy wobbles as factions compete to avoid looking soft on US

2
VOICES FROM IRAN

Bread shortages, soaring prices strain households in Iran, residents say

3
ANALYSIS

The politics of pink: how Iran uses cuteness to rebrand violence

4

Scam messages seek crypto for ships’ safe passage through Hormuz, firm warns

5
EXCLUSIVE

Family told missing teen was alive, then received his body 60 days later

Banner
Banner

Spotlight

  • Diplomacy tolls at Hormuz as conflict returns to its doorstep
    OPINION

    Diplomacy tolls at Hormuz as conflict returns to its doorstep

  • Opposition to US talks grows in Tehran as ceasefire deadline nears
    INSIGHT

    Opposition to US talks grows in Tehran as ceasefire deadline nears

  • Tehran moderates see ‘no deal–no war’ limbo as worst outcome
    INSIGHT

    Tehran moderates see ‘no deal–no war’ limbo as worst outcome

  • The future has been switched off here
    TEHRAN INSIDER

    The future has been switched off here

  • Lights out, then gunfire: Witnesses recount Mashhad protest crackdown
    VOICES FROM IRAN

    Lights out, then gunfire: Witnesses recount Mashhad protest crackdown

  • Is Iran entering its Gorbachev moment?
    INSIGHT

    Is Iran entering its Gorbachev moment?

•
•
•

More Stories

Iran’s Embassy In Copenhagen Surrounded By Police Over ‘Security Incident’

Oct 7, 2022, 13:37 GMT+1

The Iranian embassy in Copenhagen has been surrounded by Denmark's security forces over a "security incident," Danish media reported Friday.

According to reports, one man armed with a “cold weapon” entered the premises of the embassy in the Danish capital on Friday as Iranian expatriates were holding a demonstration outside the embassy building. 

After entering the embassy compound, the assailant threatened the employees and caused damage to the cars in the embassy parking lot, Tehran’s envoy said, adding that "Unfortunately, despite the previous official warnings, the Danish police arrived at the embassy with delay."

Iranian Foreign Minister Hossein Amir-Abdollahian held a phone call with Tehran’s ambassador in Copenhagen Afsaneh Nadipour following the incident. Amir-Abdollahian criticized the Danish police for lax security around the embassy. 

Amid nationwide protests sparked by the death of 22-year-old Mahsa Amini in hijab police custody, regular protests are also held at Islamic Republic’s embassies and consulates in numerous cities around the world, with some clashes reported between angry Iranians and host country police. 

Late in September, French police used tear gas and employed anti-riot tactics to prevent hundreds of people protesting in the capital from marching on Tehran's diplomatic mission, and In London, police said they made 12 arrests while five officers were "seriously injured" as demonstrators tried to break through barriers protecting Iran's UK embassy.

Authorities Try To Cover Up Another Teen Protester’s Death In Iran

Oct 7, 2022, 12:15 GMT+1
•
Maryam Sinaiee

Government manipulation of information about the killing of teenage girls during protests and forcing families to make confessions, have outraged many in Iran.

Chief of the Alborz Province Justice Department, Hossein Fazeli, claimed Thursday evening that 16-year-old Sarina Esmailzadeh had jumped from a neighbor’s rooftop and killed herself and her death was unrelated to protests. “The deceased had a history of overdosing with pills to kill herself.”

Fazeli also claimed that Sarina’s mother, uncle, and young brother had gone to the prosecutor’s office to complain about the social media reports that said she had been killed in the protests.

Less than a day later, on Friday, state media released a video showing Sarina’s mother (now disputed by people who say she is not her mother but an actor) denying that her daughter was killed in the protests and saying she had a history of attempting suicide in what appeared to be an interview in which a reporter tried to lead her with his questions.

The 16-year-old YouTuber died on the way to hospital after being severely beaten in the head with batons at while protesting the killing of Mahsa Amini. She had joined a protest in Karaj, a large city half an hour from the capital Tehran, on September 21. Her injury and death were verified by Amnesty International.

Sources close to the family have said on social media that over 50 security forces were present at her funeral, presumably to prevent a protest, and did not allow anyone to take video at the cemetery. The reports say security forces removed all the photos and condolence messages on the wall of her home only a day after Sarina’s funeral. They also say the family have not been allowed to hire a lawyer and are under pressure to say she committed suicide.

A young woman after being targeted by shotgun shells designed to injure, but also could kill if fired at a victim's head. September 2022
100%
A young woman after being targeted by shotgun shells designed to injure, but also could kill if fired at a victim's head

But few may believe the official account of the happy, intelligent, social-media savvy young girl’s death, or even the purported “confession” of her mother, after seeing her daughter’s posts on social media before her death.

“You tell me not to swear profanities at the authorities? … How is it that suddenly a syndrome afflicts everyone to make them jump from heights to kill themselves?” one of the unbelieving Twitterati wrote quoting the judiciary official’s claims. He was referring to similar claims made about another teenage protester, Nika Shakarami, whose whole family have been under great pressure to deny her death in the protests.

Authorities claim Nika also jumped from a rooftop after taking part in protests on the same day that Sarina did. Nika’s aunt and uncle were both arrested earlier this week and forced to corroborate the suicide script.

Nika Shakrami, who disappeared for 10 days after being chased in the street by security agents. Undated
100%
Nika Shakrami, who disappeared for 10 days after being chased in the street by security agents

Nika’s mother, Nasrin Shakarami, however, has bravely resisted all pressures. She told Iran International Thursday that the authorities’ claims were “ridiculous”. “It’s not the first time that they deny the truth.” According to her, not only her brother and sister but also some of her nieces and nephews are facing arrest. “There is no use talking to the authorities. They bully us and want us to repeat their account of the incident.”

Teenage girls killed by Iran's security forces during recent protests represented some of the best among Generation Z, concerned about their society and their own future. “We all know what’s it like in Iran. What do people in any country want: welfare, welfare, welfare,” Sarina says in one of her videos but goes on to add that she and her generation have to worry about much more. “There are these restrictions for women, like compulsory hijab … We can’t even go to a stadium [to watch football],” she says after mentioning that the economy is in ruins.

Sarina, an accomplished student who spoke English and French, talked about her daily life, studies, and her aspirations in her social media posts. In one of her video blogs made during a visit to a historical mosque the youngster criticizes the government for failing to protect the country’s cultural heritage and highlights a graffiti, written by religious hardliners, that says women best stay at home and raise children.

In a video she is seen in a car singing along to Hozier’s Take Me to Church. ‘My homeland feels like being in exile,” her last post before going to the protests on her Telegram channel said.

Iran's Supreme Leader Ali Khamenei in his first reaction to the ongoing unrest Monday blamed the United States and Israel for ‘plots’ and said the youth were drawn to the streets as a result of what they saw on social media. “With some punishment such people can be made to understand they are mistaken,” he said.

“This generation who are leading everyone now were raised by millennial mothers whose rights and feelings were constantly trampled upon by their families, schools, and the society,” another Twitterati wrote, suggesting that the millennials who were better aware of their rights raised their children not to relent to the same pressures.

Nothing displays the rebelliousness of Generation Z in Iran better than a video that went viral on social media last week. In the video protesting girls who have ditched their headscarves in a secondary school in Karaj, the same city where Sarina lived, are seen kicking out an education ministry official who came to threaten them with expulsion and convince them to "behave themselves".

Iranian ‘Reformist’ Says The Youth Want Fundamental Change

Oct 7, 2022, 09:20 GMT+1
•
Iran International Newsroom

Iran’s 'Reformists' have been side-lined during the current crisis, as neither the government nor the protesters consider them a serious political alternative.

The spokesman for Iran’s Reform Front, Abolfazl Shakouri-Rad says a bipolar situation has taken shape in Iranian politics and reformists have been left out of the political debate by both the hard-line government and the protesters who do not want an Islamic government.

“Reformists cannot do anything but sit on the fence and watch what is going on,” he said in an interview with the pro-reform Fararu website, adding that “the two main players in the bipolar game are fighting each other at the expense of the society. In the meantime, we Reformists do not know what is happening, what the future is going to look like and whether the current situation is going to serve the nation’s interests.”

It is not only Shakouri-Rad who is talking about a bipolar situation in Iran. Former Majles Speaker Gholam Ali Haddad Adel, a close relative of Supreme Leader Ali Khamenei has also expressed concern about the formation of a dangerous bipolar situation in Iran during a conference with hard-line commentators to seek a way out of the current crisis which has claimed at least 150 lives.

The spokesman for Iran’s Reform Front, Abolfazl Shakouri-Rad. Oct 4, 2022
100%
The spokesman for Iran’s Reform Front, Abolfazl Shakouri-Rad

Haddad Adel was quoted as saying on October 4 that “The Iranian society is rapidly moving towards bipolarity, with radical hardliners on the one side and another group of people who disagree with them 100 percent.” This bipolarity is so much visible in the streets that many observers believe that the two the confrontation between the two poles might put the final nail in the Islamic Republic’s coffin.

The fact that both hardliner Haddad Adel, whose political positions are aligned with the ultraconservative Paydari Party, and Shakouri-Rad, a leading reformist figure agree on the existence and the nature of this bipolarity reveals the sensitive situation Iran and its people have been experiencing during the past three weeks.

The murder of Mahsa Amini in the custody of Iran’s notorious morality police turned into the largest antigovernment uprising in Iran’s modern history.

Haddad Adel with Supreme Leader Ali Khamenei. Undated
100%
Haddad Adel with Supreme Leader Ali Khamenei. Undated

Shakouri-Rad said in the interview: “It was not only Mahsa’s death that led to this uprising. Her death only flared up the fire of accumulated dissatisfactions over the government’s performance.” He also said that the issue of hijab in the center of the event brought Iranian women and youths to the streets hoping for a change in their lifestyle.

He observed that even some of Iran’s conservatives are moved by what has happened, particularly because the way the government handled the whole episode.

Referring to the leading role of Iran’s youth in the protests, he said that most of the members of his own group, the reformist Unity of Nation Party are youngsters between 15 to 25 years old.

“This is a generation that believes it can achieve its demands only through shouting it in the streets. They do not believe in elections,” he said, but he did not mention that ruling hardliners made elections meaningless by allowing only their candidates to run.

Shakouri-Rad added that the gap between the government and citizens has widened as people have lost trust not only in the government but also in the Iranian media which can only echo what the government says. Meanwhile he acknowledged that foreign-based media including the Iran International TV have taken the lead in shaping public opinion in Iran.

“At the same time, social media posts criticizing the Iranian governments are ‘liked’ by thousands of Iranian users. Despite the restrictions imposed by the government, more Iranians are now-a-days on social media,” he said.

Shakouri-Rad maintained that this degree of dissatisfaction has always existed in Iran, but it has become stronger and more visible.

The politician concluded that “the current situation of political bipolarity is extremely dangerous, but we as reformists cannot even convince those who belong to the reform camp. People voted for us in several elections since 1997 but we did not have an eye-catching achievement. The younger generation no longer believes in us and as a result of that we have been marginalized in Iran.”

Iranian Activists Call For Nationwide Protests On Saturday

Oct 6, 2022, 21:55 GMT+1
•
Maryam Sinaiee

Iranian activists and university professors have called for nationwide rallies on Saturday, October 8, as street protests have become sporadic in recent days.

Small and isolated flashmob protests continued Wednesday evening in several places as well as rooftop chanting and car horn honking. Some people say this is a sign the regime’s repressive methods are working. Nevertheless, others have urged Iranians to rally and protest in city squares across the country Saturday to demonstrate the might of the movement which they say now is the prelude to a revolution to overthrow the system rather than merely protesting its repressive policies.

In a statement Thursday, professors at the prestigious Sharif University of Technology in Tehran also urged all students and professors to rally in universities across the country Saturday in protest to the plainclothes security forces’ brutal attack on their university’s students October 2.

The European Parliament Thursday condemned the death of Mahsa Amini, the young girl whose death in custody sparked the recent protests in Iran, and asked for EU sanctions against her killers and those involved in quashing the ensuing street protests while the United States imposed sanctions on seven Iranian officials over the shutdown of internet access and the crackdown on peaceful protesters.

Authorities have arrested dozens of students and student activists protesting peacefully inside their university campuses, where the law bans armed forces from entering. Many students were arrested also at other locations including their homes.

Both calls to protest have been made only on social media as the extremely tight state censorship does not even allow media reporting of the protests, let alone publishing calls for demonstrations.

Students, mostly girls, in secondary schools, which only opened a few days ago for the new academic year, rebelled this week in many areas, refusing to attend classes, protesting inside their schools and chanting slogans on their way home. Students often burn the headscarves they are forced to always wear, in protest to hijab laws and the killing of Mahsa Amini who was arrested in Septamber for her ”improper hijab”..

Iranian authorities have clamped down on the protesters with such heavy methods that even some of their own supporters find it hard to digest.A regime insider, hardliner filmmaker Javad Moguei, has given a harrowing account of the brutality of the security forces in some Instagram posts. Moguei was shot with 14 plastic bullets and beaten up for objecting to security personnel attacking a young female protester on a Tehran street.

According to the Oslo-based Iran Human Rights Organization (IHR) at least 1,200, including 29 journalists, 20 rights activists, and 19 teachers, have been arrested since the protests began nearly three weeks ago. IHR said Tuesday that at least 154 protesters, including nine children have been killed by security forces during the recent protests.

Amnesty International said in a statement Thursday that Iranian security forces killed at least 66 people, including children, and 16 more in separate incidents in Zahedan, Sistan and Baluchistan province, amid an ongoing clampdown on ongoing protests in the province which brings the death toll in the province to 82. Local rights groups say the death toll has risen to 91.

Security forces fired live ammunition at Zahedan protesters, bystanders and worshippers after Friday prayers but claim the incident was provoked by armed separatist groups. Leading Baluchi Sunni cleric Molavi Abdolhamid who has refuted the authorities’ claims condemned the killing of protesters calling it a “massacre” Wednesday.

Authorities blame foreign ‘enemies’ for the unrest in the country. On Thursday the state media aired a trailer of purported confessions by two French citizens as proof that protests are being instigated and led from outside the country. France has strongly rejected the allegations and the airing of forced confessions by its citizens.

Authorities have imposed curfew-style internet shutdowns to break communication among protesters and prevent footage from leaking to social media, but some images continue to trickle out. They have also resorted again to orbital jamming of international satellite transmissions to stop the flow of news from foreign-based Persian televisions such as Iran International, BBC Persian, and Manoto TV.

Eutelsat Says Iran Jamming Two Of Its Satellites

Oct 6, 2022, 21:31 GMT+1

French satellite operator Eutelsat said Thursday that Iran had jammed two of its satellites since September 26, adding that it is in contact with relevant authorities to stop the interference.

The Paris-based operator said in a statement that it had reminded the Iranian authorities that intentional jamming is "explicitly prohibited" by the International Telecommunication Union (ITU) Radio Regulations. 

"The interferences harmfully affect the transmission of several digital TV and radio channels broadcasting in Persian from outside of Iran, as well as other channels," it said, adding that "Eutelsat's technical experts have been working around the clock with affected customers to mitigate the impact of the interference on service as much as possible.”

After the Islamic Republic resorted to orbital jamming to limit access to Iran International, the news network launched a lawsuit to legally pursue the case through international bodies.

The signals directed at satellites are beamed into space from a site near Karaj, west of Tehran, amid escalation of the protests – sparked by the death of Mahsa Amini, the 22-year-old woman who was killed in custody of hijab police.

Earlier in the day, hacktivist group Anonymous said it is jamming about 48 of the Islamic Republic’s radio and television networks, and will continue disrupting channels affiliated with state broadcaster IRIB as long as the Islamic Republic jams signals to Persian-language satellite channels.

Tens of millions of people In Iran watch satellite TV channels such as Iran International because television in Iran is government-owned, echoing official propaganda.