• العربية
  • English
Brand
  • برنامه‌ها
  • تلویزیون
  • شنیداری
  • ایران
  • جهان
  • حقوق بشر
  • انقلاب ملی
  • جاویدنامان
  • گزارش ویژه
  • ورزش
  • بازار
  • برنامه‌ها
  • تلویزیون
  • شنیداری
  • ایران
  • جهان
  • حقوق بشر
  • انقلاب ملی
  • جاویدنامان
  • گزارش ویژه
  • ورزش
  • بازار
  • پوسته
  • زبان
    • العربية
    • English
  • برنامه‌ها
  • تلویزیون
  • شنیداری
  • ایران
  • جهان
  • حقوق بشر
  • انقلاب ملی
  • جاویدنامان
  • گزارش ویژه
  • ورزش
  • بازار
کلیه حقوق قانونی این سایت متعلق به ولانت‌مدیا است.
volant media logo

چالش بزرگ نظام سلامت روان؛ درمان مردان با نسخه زنانه

۲۷ بهمن ۱۴۰۳، ۱۸:۲۹ (‎+۰ گرینویچ)

نظام سلامت روان امروزه با چالشی جدی روبه‌رو است. در حالی که آمار خودکشی و افسردگی در میان مردان روز به روز افزایش می‌یابد، شواهد نشان می‌دهد رویکردهای درمانی موجود که بیشتر بر اساس الگوهای زنانه طراحی شده‌اند، نمی‌توانند به‌طور موثر به نیازهای خاص مردان پاسخ دهند.

افسردگی و تفاوت‌های بنیادین زنان و مردان

وب‌سایت «سایکولوژی تودی» در توضیح تفاوت نشانه‌های افسردگی در مردان و زنان نوشت افسردگی در زنان معمولا خود را با علائم آشکاری مانند گریه و گوشه‌گیری نشان می‌دهد، اما در مردان داستان متفاوت است.

مردان افسرده اغلب با رفتارهای پرخاشگرانه، ریسک‌پذیری بالا و بی‌حسی عاطفی واکنش نشان می‌دهند.

متخصصان سلامت روان در تلاش برای ارائه خدمات درمانی به مردان، همچنان از روش‌هایی استفاده می‌کنند که برای زنان طراحی شده‌ است.

این رویکرد یکسان، بدون توجه به تفاوت‌های عمیق روانشناختی، فرهنگی و زیستی میان مردان و زنان، نه‌تنها کمکی به درمان مردان نمی‌کند، بلکه می‌تواند آسیب‌زا نیز باشد.

این تفاوت‌ها تنها به عوامل زیستی محدود نمی‌شوند، بلکه ریشه در انتظارات اجتماعی و فرهنگی از مردان دارند.

در جامعه امروز، مردان از کودکی می‌آموزند که باید قوی باشند و احساسات خود را پنهان کنند. این الگوی رفتاریِ عمیقا ریشه‌دار باعث می‌شود آن‌ها در مواجهه با مشکلات روانی، کمتر به دنبال کمک متخصصان بروند.

100%

تفاوت‌های زیستی و عصب‌شناختی مردان و زنان

پژوهش‌های علمی حاکی از آن است که علاوه بر عوامل فرهنگی، ساختار مغز و سیستم‌های هورمونی مردان و زنان به شیوه‌های متفاوتی به استرس واکنش نشان می‌دهند.

در حالی که زنان در شرایط استرس‌زا به رفتارهای مراقبتی و جست‌وجوی حمایت اجتماعی تمایل دارند، مردان بیشتر به سمت «واکنش‌های جنگ یا گریز» کشیده می‌شوند.

این تفاوت‌ها ریشه در ساختارهای متفاوت مغزی و سطوح متغیر هورمون‌ها دارد. برای نمونه، سطوح متفاوت تستوسترون و استروژن می‌تواند بر نحوه پردازش استرس و واکنش‌های هیجانی تاثیر بگذارد.

همچنین مسیرهای عصبی متفاوت در پردازش اطلاعات هیجانی می‌تواند توضیح دهد که چرا مردان و زنان از روش‌های متفاوتی برای مقابله با استرس استفاده می‌کنند.

این تفاوت‌های زیستی نشان می‌دهد چرا برخی روش‌های درمانی مبتنی بر گفت‌وگو و حمایت اجتماعی که برای زنان موثر است، ممکن است برای مردان کارآیی لازم را نداشته‌ باشد.

چالش‌های سیستم درمانی موجود

سیستم فعلی سلامت روان که بیشتر بر پایه تجربیات و نیازهای زنان شکل گرفته، در درمان مردان با موانع جدی روبه‌رو است.

برای مثال، جلسات گروه‌درمانی که بر ابراز احساسات تاکید دارند، اغلب برای مردانی که با این نوع رویکرد راحت نیستند، نتیجه معکوس می‌دهد.

روش‌های درمانی مبتنی بر خودکاوی عاطفی که در درمان زنان موفق عمل کرده‌اند، ممکن است برای مردان نه‌تنها مفید نباشند، بلکه احساس شرم و ناکارآمدی را در آن‌ها تشدید کنند.

همچنین تمرین‌های مبتنی بر ذهن‌آگاهی و مراقبه که نیازمند آرامش و درون‌نگری است، با روحیه عمل‌گرای مردان که ترجیح می‌دهند مشکلات را به شکل مستقیم حل کنند و به دنبال هدف‌گذاری هستند، همخوانی ندارد.

این مساله می‌تواند به ترک زودهنگام درمان یا عدم پیگیری آن منجر شود.

100%

راهکارهای نوین برای درمان موثر

برای حل این چالش‌ها، نیاز به تغییری بنیادین در نظام سلامت روان دیده می‌شود.

رویکردهای درمانی باید به گونه‌ای طراحی شوند که با ویژگی‌های خاص مردان همخوانی داشته‌ باشند. در این شیوه درمانی می‌توان از فعالیت‌های بدنی، تمرین‌های هدفمند و کارگاه‌های مهارت‌آموزی استفاده کرد که برای مردان موثرتر از روش‌های صرفا درون‌نگرانه است.

درمانگران باید بیاموزند چگونه درمان را به زبانی ارائه دهند که برای مردان قابل پذیرش باشد. در این مسیر، به جای تاکید بر آسیب‌پذیری، می‌توان بر مفاهیمی مانند قدرت شخصی و رشد فردی تمرکز کرد.

آموزش و آگاهی‌رسانی

یکی از مهم‌ترین گام‌ها در بهبود شاخص سلامت روان مردان، آموزش متخصصان درباره تفاوت‌های جنسیتی در بروز و درمان مشکلات روانی است.

درمانگران باید بیاموزند که چگونه علائم خاص افسردگی و اضطراب در مردان را تشخیص دهند و به جای اصرار بر روش‌های معمول گفت‌وگودرمانی، از شیوه‌های عملی و هدفمند استفاده کنند.

همچنین لازم است جامعه درک بهتری از اهمیت سلامت روان مردان پیدا کند. باید این پیام را منتقل کرد که کمک خواستن نه تنها نشانه ضعف نیست، بلکه نشان‌دهنده قدرت و مسئولیت‌پذیری است.

سلامت روان مردان موضوعی است که نمی‌توان آن را با رویکردهای سنتی و یکسان حل کرد. ما نیاز به درک عمیق‌تر تفاوت‌های جنسیتی و طراحی راهکارهای متناسب با نیازهای خاص مردان داریم.

تنها با چنین رویکرد جامع و هدفمندی می‌توان امیدوار بود که مردان بیشتری برای حفظ سلامت روان خود قدم پیش بگذارند و از خدمات درمانی مناسب بهره‌مند شوند.

این تغییر نه تنها به نفع مردان، بلکه به نفع کل جامعه خواهد‌ بود، چرا که سلامت روان مردان تاثیر مستقیمی بر کیفیت روابط خانوادگی، عملکرد شغلی و در نهایت سلامت عمومی جامعه دارد.

Banner
Banner
Banner
Banner

پربازدیدترین‌ها

پنج غول بانکی آمریکا و بریتانیا به مشارکت ناخواسته در پول‌شویی برای تهران متهم شده‌اند
۱

پنج غول بانکی آمریکا و بریتانیا به مشارکت ناخواسته در پول‌شویی برای تهران متهم شده‌اند

۲

اسرائیل: به شبکه ترور برون‌مرزی جمهوری اسلامی ضربه کاری زدیم

۳
تحلیل

چگونه یک کشور بی‌ثبات به میانجی اصلی میان واشینگتن و تهران تبدیل شد؟

۴

آمریکا کشتی ایرانی را در دریای عمان توقیف کرد؛ قرارگاه مرکزی خاتم‌الانبیا: تلافی می‌کنیم

۵

جمهوری اسلامی دو نفر را به اتهام عضویت در شبکه جاسوسی مرتبط با اسرائیل اعدام کرد

انتخاب سردبیر

  • پیامدهای نبرد با جمهوری اسلامی؛ عربستان سعودی و عراق گرفتار یک جنگ پنهان شده‌اند

    پیامدهای نبرد با جمهوری اسلامی؛ عربستان سعودی و عراق گرفتار یک جنگ پنهان شده‌اند

  • امیرعلی میرجعفری، از معترضان دی‌ماه، اعدام شد

    امیرعلی میرجعفری، از معترضان دی‌ماه، اعدام شد

  • اشغال فضاهای شهری؛ بازگشت به دهه ۶۰ زیر سایه پروپاگاندای جنگ
    تحلیل

    اشغال فضاهای شهری؛ بازگشت به دهه ۶۰ زیر سایه پروپاگاندای جنگ

  • احمد کاظمی پیش از کشته شدن در بندرعباس: هیچ چیز مهم‌تر از مردم نیست

    احمد کاظمی پیش از کشته شدن در بندرعباس: هیچ چیز مهم‌تر از مردم نیست

  • اسرائیل: به شبکه ترور برون‌مرزی جمهوری اسلامی ضربه کاری زدیم

    اسرائیل: به شبکه ترور برون‌مرزی جمهوری اسلامی ضربه کاری زدیم

  • جمهوری اسلامی دو نفر را به اتهام عضویت در شبکه جاسوسی مرتبط با اسرائیل اعدام کرد

    جمهوری اسلامی دو نفر را به اتهام عضویت در شبکه جاسوسی مرتبط با اسرائیل اعدام کرد

•
•
•

مطالب بیشتر

کشف تازه دانشمندان، داروی کاهش وزن اوزمپیک، درمانی موثر برای ترک الکل و سیگار

۲۶ بهمن ۱۴۰۳، ۱۷:۱۱ (‎+۰ گرینویچ)

داروی اوزمپیک که به‌عنوان درمانی برای دیابت و کاهش وزن شهرت یافته، حالا امیدهای تازه‌ای را برای درمان اعتیاد به الکل و سیگار برانگیخته است. نتایج یک پژوهش تازه نشان می‌دهد میل به مصرف الکل و سیگار را به‌طور چشمگیری کاهش می‌دهد.

به گزارش اسکای نیوز، این مطالعه نه هفته‌ای بر روی ۴۸ فرد مبتلا به اختلال مصرف الکل، که محققان دانشگاه کالیفرنیای جنوبی انجام داده‌اند، نشان می‌دهد اوزمپیک در مقایسه با داروهای موجود، کارآیی بیشتری در کاهش میل به مصرف الکل و سیگار دارد.

بر اساس این مطالعه، اوزمپیک و سایر داروهای حاوی سماگلوتاید، علاوه بر کاربرد شناخته شده آن‌ها در درمان دیابت و کاهش وزن، می‌توانند گام مهمی در مسیر ترک اعتیاد باشند.

یافته‌های این پژوهش، گزارش‌های غیررسمی قبلی درباره کاهش میل به مصرف الکل در مصرف‌کنندگان اوزمپیک و ویگووی را تایید می‌کند.

پژوهشگران در این مطالعه، ۴۸ نفر مبتلا به اختلال مصرف الکل را تحت نظر گرفتند. این گروه توانایی کنترل مصرف الکل خود را حتی با وجود پیامدهای منفی آن از دست داده‌بودند.

زنان شرکت‌کننده در این مطالعه در یک ماه گذشته، هر هفته بیش از هفت نوشیدنی الکلی مصرف کرده و دست‌کم دو بار مصرف سنگین الکل را تجربه کرده‌بودند.

مردان حاضر در پژوهش نیز وضعیت مشابهی داشتند، با این تفاوت که میزان مصرف هفتگی آن‌ها بیش از ۱۴ نوشیدنی الکلی بود و آن‌ها نیز حداقل دو بار مصرف سنگین الکل را گزارش کرده‌ بودند.

پس از پایان دوره نه هفته‌ای پژوهش، نتایج نشان داد شرکت‌کنندگانی که دوز پایین سماگلوتاید دریافت کرده‌بودند، در مقایسه با گروه دارونما مصرف الکل خود را کاهش دادند.

تزریق این دارو نه تنها میل هفتگی به مصرف الکل را کم کرد، بلکه میانگین مصرف در روزهای مصرف و تعداد روزهای مصرف سنگین را نیز پایین آورد.

نکته قابل توجه این است که اثربخشی این داروها از داروهای فعلی درمان مشکلات مصرف الکل بیشتر بود. علاوه بر این، افراد سیگاری شرکت‌کننده در پژوهش نیز کاهش چشمگیری در تعداد سیگارهای مصرفی روزانه خود تجربه کردند.

100%

آمار سازمان بهداشت عمومی انگلستان نشان می‌دهد در سال ۲۰۲۳، بیش از هشت هزار و ۲۰۰ نفر به دلیل مصرف الکل جان خود را از دست دادند که نسبت به سال ۲۰۱۹، افزایشی ۴۲ درصدی داشته‌است. مصرف الکل همچنین به عنوان عامل بیش از ۶۰ نوع بیماری شناخته شده‌است.

در حال حاضر، دو داروی تاییدشده برای کاهش مصرف الکل وجود دارد که کاربرد گسترده‌ای ندارند.

به گفته پروفسور کریستین هندرشات، سرپرست این پژوهش، محبوبیت اوزمپیک و داروهای مشابه می‌تواند به پذیرش گسترده‌تر این درمان‌ها برای اختلال مصرف الکل کمک کند.

چه دلایلی باعث کاهش میل به رابطه جنسی در میان زوج‌ها می‌شود؟

۲۵ بهمن ۱۴۰۳، ۱۷:۴۰ (‎+۰ گرینویچ)

متخصصان می‌گویند عوامل متعددی از جمله مشکلات سلامتی و تغییرات هورمونی می‌توانند باعث کاهش میل جنسی شوند که در بسیاری از موارد این مشکلات قابل درمان هستند. در این گزارش ۹ دلیل برای کاهش میل به رابطه جنسی آمده است.

نظرسنجی نشریه سان در قالب گزارش‌های سالانه سلامت نشان می‌دهد خستگی با ۲۷ درصد، شایع‌ترین دلیل بی‌میلی به رابطه جنسی است. پس از آن، مشکلات نعوظ و استرس به ترتیب با ۲۸ و ۱۲ درصد، از دیگر دلایل مهم این بی‌میلی هستند.

دکتر جانین دیوید، متخصص سلامت، رابطه جنسی را یکی از نیازهای اساسی انسان می‌داند که بر سلامت تاثیر مستقیم دارد.

او معتقد است اگرچه رابطه جنسی تنها عنصر سازنده یک رابطه عاشقانه نیست، اما اجتناب از آن می‌تواند به کاهش عزت نفس و احساس شرم در هر دو طرف منجر شود.

وقتی یکی از طرفین علاقه‌اش را به رابطه جنسی از دست می‌دهد، طرف مقابل دچار تردیدهایی می‌شود، آیا من مقصرم؟ آیا هنوز جذابم؟ آیا خیانتی در کار است؟ اما واقعیت این است که در بیشتر موارد، این بی‌میلی دلایل دیگری دارد که ارتباطی به طرف مقابل ندارد.

۱-مشکلات سلامتی

دکتر دیوید معتقد است مشکلات سلامتی مهم‌ترین دلیل دوری از رابطه جنسی هستند.

بیماران قلبی-عروقی به دلیل ترس از حمله قلبی یا سکته و افراد مبتلا به چاقی و دیابت به طور کلی فعالیت جنسی کم‌تری دارند.

در مردان مبتلا به دیابت، روند کاهش فعالیت جنسی ۱۵ سال سریع‌تر از حد معمول است. این بیماری با آسیب به رگ‌های خونی و اعصاب، احتمال اختلال نعوظ را تا سه برابر افزایش می‌دهد.

درد مزمن نیز علاوه بر کاهش لذت رابطه جنسی، می‌تواند با ایجاد افسردگی و اضطراب باعث کاهش میل جنسی شود. داروهای ضدافسردگی و ضداضطراب نیز چنین تاثیری دارند.

برای حل این مشکلات، مشورت با پزشک درباره تغییر داروها یا استفاده از درمان‌های مناسب توصیه می‌شود.

۲- تاثیر هورمون‌ها

نوسانات هورمونی علاوه بر تاثیر بر سلامت پوست، خلق‌وخو، انرژی و خواب، می‌توانند میل جنسی را نیز تحت تاثیر قرار دهند.

دکتر دیوید در این زمینه به سان می‌گوید: «چرخه قاعدگی، بارداری و یائسگی می‌توانند باعث تغییرات هورمونی و کاهش میل جنسی در زنان شوند.»

در چرخه قاعدگی، میل جنسی زنان هنگام تخمک‌گذاری به دلیل افزایش استروژن و تستوسترون به اوج می‌رسد، اما یک هفته پیش از قاعدگی به دلیل افزایش پروژسترون کاهش می‌یابد.

یائسگی نیز که به طور معمول بین ۴۵ تا ۵۱ سالگی رخ می‌دهد، می‌تواند با ایجاد علائمی مانند خشکی واژن، رابطه جنسی را دشوار کند.

در این موارد، مراجعه به پزشک و استفاده از درمان‌های هورمونی مانند درمان جایگزینی هورمون (HRT) که شامل استفاده از هورمون‌های جایگزین است، می‌تواند کمک‌کننده باشد.

100%

۳- خستگی

خستگی و کمبود خواب، شایع‌ترین دلیل کاهش روابط جنسی است. نظرسنجی نشریه سان نشان می‌دهد ۲۷ درصد افراد این عامل را دلیل اصلی می‌دانند.

از این میان، ۳۶ درصد زنان گفته‌اند آنقدر خسته هستند که حتی نمی‌توانند به رابطه جنسی فکر کنند.

هوپ فلین، کارشناس روابط، می‌گوید که خستگی ناشی از کار طولانی یا ورزش، نه تنها انرژی را تخلیه می‌کند، بلکه می‌تواند رابطه جنسی را ناخوشایند کند.

او پیشنهاد می‌کند زمانی را در تقویم برای رابطه جنسی مشخص کنید و اگر می‌دانید عصرها خسته‌تر هستید، صبح‌ها یا آخر هفته‌ها را انتخاب کنید. در صورت تداوم خستگی با وجود خواب و تغذیه مناسب، با پزشک مشورت کنید.

۴- اختلال نعوظ

بر اساس نظرسنجی نشریه سان، ۲۸ درصد خوانندگان این نشریه به دلیل اختلال نعوظ رابطه جنسی کم‌تری دارند.

به گفته دکتر دیوید، حدود نیمی از مردان بالای ۴۰ سال و بیش از یک‌چهارم مردان زیر ۴۰ سال با این مشکل روبه‌رو هستند.

او پیش‌بینی می‌کند با افزایش سن جامعه، چاقی، دیابت نوع دو و بیماری‌های قلبی-عروقی، این آمار بیشتر هم خواهد‌ شد.

اختلال نعوظ می‌تواند نشانه‌ای از بیماری‌های جدی‌تر باشد. عوامل جسمی مانند مشکلات عروقی، عصبی و هورمونی، و عوامل روانی مانند استرس و اضطراب در بروز آن نقش دارند.

اگرچه این مشکل با افزایش سن شایع‌تر می‌شود، اما در بیشتر موارد قابل درمان است و گزینه‌های درمانی متنوعی برای آن وجود دارد.

۵- استرس

در نظرسنجی نشریه سان، ۱۲ درصد از خوانندگان استرس را عامل اصلی کاهش روابط جنسی می‌دانند.

به گفته کارشناسان، بسیاری از ما حتی متوجه نیستیم که در وضعیت استرس مزمن زندگی می‌کنیم و این وضعیت می‌تواند چه تاثیری بر سلامت و روابط جنسی‌مان می‌گذارد.

به باور فلین نگرانی‌های مداوم درباره کار، مسائل مالی و خانوادگی می‌تواند آرامش را مختل و فضای صمیمیت را تخریب کند.

او برای کاهش استرس پیشنهاد می‌کند، موقع رفتن به اتاق خواب تلفن‌ها را کنار بگذارید، هنگام شام درباره نگرانی‌هایتان با یکدیگر صحبت کنید یا آخر هفته‌ها با هم ورزش کنید و در صورت تداوم استرس با پزشک مشورت کنید.

100%

۶- یکنواختی رابطه جنسی

گاهی مشکل پزشکی خاصی وجود ندارد و تنها تکرار مداوم روالی یکسان باعث کاهش علاقه به رابطه جنسی می‌شود.

به گفته فلین، تکرار مداوم همان روش‌های قدیمی می‌تواند رابطه جنسی را خسته‌کننده و بی‌روح کند.

او پیشنهاد می‌کند برای ایجاد انگیزه، از تغییرات کوچک شروع کنید. با شریک زندگی‌تان درباره علایق و خواسته‌هایتان صحبت کنید، مکان‌های متفاوتی را امتحان کنید و حتی می‌توانید با استفاده از لوازم جانبی تنوع ایجاد کنید. فقط مطمئن شوید هر تغییری با توافق و رضایت هر دو طرف انجام می‌شود.

۷- خیانت

وقتی شریک زندگی از رابطه جنسی دوری می‌کند، نگرانی درباره احتمال خیانت طبیعی است.

فلین توصیه می‌کند علاوه بر کاهش رابطه جنسی، باید به نشانه‌های دیگر مانند تغییرات ناگهانی در رفتار، محافظه‌کاری بیش از حد درباره تلفن و شبکه‌های اجتماعی، کاهش صمیمیت عاطفی و فیزیکی، تغییرات ظاهری ناگهانی و هزینه‌های مشکوک در حساب بانکی هم توجه کرد.

با این حال، از تصمیم‌گیری عجولانه بپرهیزید. اگر مشکوک هستید، ابتدا آرام با شریک زندگی‌تان صحبت کنید و مشاهدات و نگرانی‌هایتان را مطرح کنید. ممکن است توضیحات منطقی وجود داشته ‌باشد.

۸- اختلاف‌های مداوم

مشاجره‌های پی در پی می‌تواند میل جنسی را از بین ببرد. فلین معتقد است وقتی احساسات منفی، سوتفاهم یا رنجش بین دو نفر وجود دارد، نمی‌توان انتظار رابطه جنسی خوب داشت، چون رابطه جنسی به اعتماد و ارتباط عاطفی نیاز دارد.

او توصیه می‌کند به جای درگیر شدن بر سر مسائل کوچک، روی مشکل اصلی تمرکز کنید.

هنگام بالا گرفتن بحث، کمی فاصله بگیرید و پس از آرام شدن، دوباره گفت‌وگو کنید. در این گفت‌وگوها، خوب به حرف‌های یکدیگر گوش دهید و از قطع کردن صحبت طرف مقابل خودداری کنید.

اگر نمی‌توانید مشکل را حل کنید، مراجعه به مشاور رابطه می‌تواند کمک‌کننده باشد.

۹- عزت نفس پایین

گاهی عزت نفس پایین می‌تواند دلیل اصلی دوری از رابطه جنسی باشد. احساس نامطلوب بودن، نگرانی از تصویر بدن، ترس از قضاوت شدن یا اضطراب عملکرد می‌تواند باعث دوری از رابطه جنسی شود.

تغییرات طبیعی بدن مانند بارداری، تغییرات وزن، پیری یا بیماری می‌توانند این احساسات را تشدید کنند.

فلین توصیه می‌کند قبل از صحبت درباره مسائل جنسی، به تقویت اعتماد به نفس شریک زندگی‌تان بپردازید. می‌توانید با لحنی هم‌دلانه بگویید: «احساس می‌کنم اخیرا کمی از هم دور شده‌ایم» و نظر او را جویا شوید.

این گفت‌وگوی صمیمانه می‌تواند به شریک زندگی‌تان کمک کند تا احساس ارزشمندی و دوست داشته شدن کند.

کشف جدید پژوهشگران درباره تغییر تدریجی و پیوسته رشته‌کوه زاگرس

۲۴ بهمن ۱۴۰۳، ۰۳:۵۳ (‎+۰ گرینویچ)

رشته کوه زاگرس، نگهبان خاموش خاورمیانه، امروز رازی شگفت‌انگیز را آشکار می‌کند. پژوهش تازه دانشمندان نشان می‌دهد بقایای اقیانوس باستانی نئوتتیس در ژرفای این کوه‌ها همچنان فعال است و با گسیختگی تدریجی خود، چهره زمین را دگرگون می‌کند.

رشته کوه زاگرس که در سه کشور ایران، عراق و ترکیه گسترده شده، داستان شگفت‌انگیزی در دل خود دارد.

به گزارش ساینس تونتی، گروهی از پژوهشگران به رهبری دانشگاه گوتینگن آلمان، به تازگی یافته‌های مهمی را در مقاله‌ای با عنوان «الگوی فرونشست میوسن حوضه پیش‌بوم شمال غربی زاگرس، بازتاب‌دهنده گسترش پارگی صفحه نئوتتیس به سمت جنوب شرق» در مجله سالید ارث منتشر کرده‌اند.

پژوهشگران کشف کرده‌اند که صفحه اقیانوسی نئوتتیس که زمانی میان صفحه‌های عربی و اوراسیا (Arabian and Eurasian continents) قرار داشت، در حال شکافتن است.

این گسیختگی و شکاف، به آرامی از جنوب شرق ترکیه به سوی شمال غرب ایران پیش می‌رود.

این یافته‌ها نشان می‌دهند که چگونه نیروهای قدرتمند زیرزمینی به شکل‌گیری رشته‌کوه‌های زاگرس و فرونشست کف اقیانوس‌ها در این منطقه انجامیده است.

گسیختگی اقیانوس کهن

نئوتتیس، یک اقیانوس پیشاتاریخی بود که ده‌ها میلیون سال پیش، در دوران مزوزوئیک و اوایل سنوزوئیک وجود داشت. این اقیانوس در محدوده‌ای گسترده بود که امروزه اقیانوس هند، دریای مدیترانه و دریاهای داخلی اوراسیا در آن قرار دارند.

با برخورد توده‌های خشکی عربستان سعودی و اوراسیا، صفحه اقیانوسی به شکل عمودی به زیر قاره‌ها رانده شد و سرانجام با بسته شدن این اقیانوس، کوه‌های زاگرس پدید آمدند.

یافته تازه پژوهشگران دانشگاه گوتینگن نشان می‌دهد نه تنها صفحه اقیانوسی نئوتتیس به‌طور کامل ناپدید نشده‌، بلکه بخشی از آن هنوز زیر سطح زمین باقی مانده و با گسیختگی افقی خود، همچنان به تغییر سطح زمین ادامه می‌دهد، حتی با آنکه دیگر اثری از خود اقیانوس نیست.

100%

یک فرورفتگی مرموز در سطح زمین

یکی از انگیزه‌های اصلی این پژوهش، کشف معمای فرونشست سریع و غیرعادی زمین در این مناطق بود.

به طور معمول، وقتی کوه‌ها از برخورد صفحات زمین‌ساختی شکل می‌گیرند، وزن آن‌ها زمین‌های اطراف را به سمت پایین خم می‌کنند. فرایندی که به آن «انعطاف‌پذیری» می‌گویند.

این خمیدگی‌ها باعث ایجاد فرورفتگی‌هایی می‌شود که به مرور با رسوبات پر می‌شوند و دره‌ها و دشت‌ها را می‌سازند.

در منطقه زاگرس و حوضه میان‌رودان، زمین در ۱۵ میلیون سال گذشته حدود سه تا چهار کیلومتر فرو نشسته است.

این عمق، بسیار بیشتر از آن چیزی است که وزن کوه‌های زاگرس به تنهایی می‌تواند توجیه کند.

پاسخ در اعماق زمین نهفته است

پژوهشگران با شبیه‌سازی حرکت لایه‌های زمین، به دلیل این فرونشست غیرعادی پی بردند.

آن‌ها نشان دادند که این فرورفتگی، احتمالا به‌دلیل نیروی اضافی ناشی از بقایای صفحه اقیانوسی در اعماق زمین است که همچنان سطح را به پایین می‌کشند.

به نظر می‌رسد در مناطقی مانند ترکیه، صفحه اقیانوسی به‌طور کامل جدا شده و به‌همین دلیل، فرونشست شدیدی در این منطقه دیده نمی‌شود.

در عراق و ایران که صفحه همچنان متصل است، کشش به سمت پایین هنوز ادامه دارد و همین امر باعث انباشت رسوبات بیشتر در حوضه میان‌رودان شده ‌است.

دستاوردهای کلیدی پژوهش

رناس کوشناو، نویسنده اصلی مقاله توضیح داد که این پژوهش، به درک نحوه عملکرد پوسته بیرونی و سخت زمین کمک می‌کند.

با این مطالعه می‌توان خطر زمین‌لرزه را در منطقه بهتر ارزیابی کرد، چرا که گسیختگی صفحات اقیانوسی می‌تواند به زلزله بینجامد.

شناخت بهتر چگونگی انباشت رسوبات، به زمین‌شناسان کمک می‌کند تا بهتر به اکتشاف منابع طبیعی مانند سوخت‌های فسیلی و مواد معدنی بپردازند.

حوضه میان‌رودان غنی از ذخایر نفتی است و با این تحقیق جدید، احتمال شناسایی منابع جدید در آن وجود دارد.

از سوی دیگر، مناطقی که فعالیت زمین‌ساختی بیشتری دارند، به‌دلیل دمای بالای درونی، می‌توانند منبع خوبی برای تولید انرژی تجدیدپذیر زمین‌گرمایی باشند.

چشم‌اندازی به نیروهای پنهان زمین

این پژوهش نشان می‌دهد که کوه‌ها و دره‌ها با آنکه نماد پایداری به نظر می‌رسند، اما وقتی از دریچه میلیون‌ها سال به آن‌ها نگاه کنیم، متوجه تغییراتشان می‌شویم.

این پژوهش نشان می‌دهد که چگونه زمین، نه تنها در گردش خود در منظومه شمسی، بلکه در سطح و اعماق نیز به‌طور پیوسته در حرکت است.

شناخت بهتر این فرآیندها به ما کمک می‌کند تا تغییرات زمین‌شناختی را پیش‌بینی کنیم، منابع انرژی جدید را کشف کنیم و تاثیر این تغییرات را بر زندگی انسان بهتر درک کنیم.

نتایج نگران‌کننده یک نظرسنجی در بریتانیا درباره خطر ابتلا به ایدز و اچ‌آی‌وی در میان مردان

۲۳ بهمن ۱۴۰۳، ۱۷:۱۷ (‎+۰ گرینویچ)

یک نظرسنجی تازه نشان می‌دهد بیش از یک‌سوم مردان در بریتانیا رابطه جنسی محافظت‌نشده دارند و ۷۳ درصد آن‌ها هرگز آزمایش اچ‌آی‌وی نداده‌اند. پزشکان هشدار دادند که بی‌تفاوتی و باور غلط نسبت به این بیماری، جامعه را با بحرانی خطرناک روبه‌رو کرده ‌است.

به گزارش اسکای‌نیوز، نتایج یک نظرسنجی گسترده که به تازگی از سوی نیوفاندلند دیاگنوستیکس با مشارکت دو هزار و ۵۰۴ نفر انجام شده، نشان می‌دهد که با وجود افزایش چشم‌گیر موارد ابتلا به اچ‌آی‌وی، اکثر مردان همچنان نسبت به این بیماری بی‌توجه‌اند.

بر اساس آخرین داده‌های منتشر شده از سوی آژانس امنیت بهداشت بریتانیا (UKHSA)، میزان تشخیص اچ‌آی‌وی در میان مردان دگرجنس‌گرا افزایشی ۳۶ درصدی داشته ‌است.

این آمار زمانی نگران‌کننده‌تر می‌شود که بدانیم ۷۳ درصد مردان تاکنون هرگز آزمایش اچ‌آی‌وی نداده‌اند، در حالی که ۳۷ درصد آن‌ها به طور منظم رابطه جنسی محافظت‌نشده دارند.

بررسی دلایل خودداری مردان از انجام آزمایش اچ‌آی‌وی، نتایج نگران‌کننده‌ای را نشان می‌دهد.

از میان دو هزار و ۵۰۴ نفر شرکت‌کننده در این نظرسنجی، ۳۴ درصد بر این باورند که احتمال ابتلای آن‌ها به اچ‌آی‌وی بسیار کم است.

یافته نگران‌کننده‌تر این است که ۲۵ درصد مردان با قطعیت می‌گویند «امکان ندارد» به این ویروس مبتلا شوند.

در این میان، ۲۰ درصد از پاسخ‌دهندگان اعلام کرده‌اند که «حوصله آزمایش دادن» ندارند. ۱۵ درصد نیز گفته‌اند که تاکنون به آزمایش اچ‌آی‌وی دسترسی نداشته‌اند.

این یافته‌ها نشان می‌دهند که باورهای نادرست و بی‌تفاوتی نسبت به سلامت جنسی در میان مردان رواج زیادی دارد.

دکتر هیلاری جونز، متخصص این حوزه می‌گوید: «داده‌های جدید نشان می‌دهند که نه تنها مشکل اچ‌آی‌وی حل نشده، بلکه با روند کنونی، وضعیت می‌تواند بدتر هم بشود.»

به گفته او، رفتارهای جنسی پرخطر به طور قطع به افزایش موارد انتقال ویروس منجر خواهد‌ شد.

دکتر جونز تاکید می‌کند: «هدف، انگ زدن به مسائل جنسی نیست. ما از مردم می‌خواهیم با عقل سلیم و رعایت نکات ایمنی، سلامت خود و جامعه را تضمین کنند.»

راهکارهای مواجهه با بحران

برای مقابله با این بحران، نیوفاندلند دیاگنوستیکس چند راهکار اساسی پیشنهاد کرده ‌است.

آزمایش اچ‌آی‌وی باید از طریق سوپرمارکت‌ها، داروخانه‌ها و پلتفرم‌های آنلاین در دسترس همگان قرار بگیرد. این امر می‌تواند زمینه‌ساز گفت‌وگوی صادقانه درباره سلامت جنسی باشد.

همچنین این شرکت از دولت بریتانیا خواسته ‌است آموزش‌های لازم درباره خطرات انتقال را گسترش دهد.

دسترسی به PrEP (داروی پیشگیری از ابتلا به اچ‌آی‌وی)، به‌ویژه برای مردان دگرجنس‌گرا باید تسهیل شود. آمارها نشان می‌دهند ۴۱ درصد این مردان به دارو دسترسی ندارند.

کی‌یر استارمر، نخست‌وزیر بریتانیا، متعهد شده ‌است تا سال ۲۰۳۰ به موارد جدید ابتلا به اچ‌آی‌وی در انگلستان پایان دهد.

آژانس ایدز سازمان ملل متحد (UNAIDS) هشدار داده که اگر بودجه جهانی درمان اچ‌آی‌وی و ایدز قطع شود، بیش از شش میلیون نفر طی چهار سال آینده جان خود را از دست خواهند ‌داد.

این نگرانی پس از آن مطرح شد که دونالد ترامپ با صدور یک فرمان اجرایی، کمک‌های خارجی را برای ۹۰ روز متوقف کرد.

به گفته معاون اجرایی آژانس ایدز سازمان ملل متحد، اگرچه برنامه‌های اچ‌آی‌وی فعلا مشمول این توقف نمی‌شوند، اما نگرانی‌های زیادی درباره آینده برنامه‌های درمانی وجود دارد.

فردریک ماندوکا، یکی از بنیان‌گذاران نیوفاندلند دیاگنوستیکس می‌گوید که آزمایش خانگی اچ‌آی‌وی فقط یک ابزار تشخیصی نیست، بلکه راهکاری مهم برای مقابله با باورهای نادرست و انگ اجتماعی در مورد سلامت جنسی است.

به گفته او، با در دسترس قرار دادن آزمایش از طریق سوپرمارکت‌ها، داروخانه‌ها و اینترنت، می‌توان راه را برای گفت‌وگوهای صادقانه و درک بهتر این موضوع باز کرد.

100%

دانشمندان راه جدیدی برای درمان سرطان کشف کردند

۲۳ بهمن ۱۴۰۳، ۰۴:۲۴ (‎+۰ گرینویچ)

دانشمندان موفق به کشف «کلیدی مولکولی» شده‌اند که می‌تواند سلول‌های سرطانی را معکوس کند. از این کشف به‌عنوان پیشرفتی چشم‌گیر و راهی جدید در درمان سرطان یاد می‌شود.

به گزارش دیلی‌میل، پژوهشگران کره جنوبی با فعال‌سازی این سازوکار مولکولی، توانستند سلول‌های سرطانی را به وضعیت سالم‌تری بازگردانند.

این دستاورد به آن‌ها امکان داد تا در لحظه‌ای حیاتی و پیش از تبدیل غیرقابل برگشت سلول‌های طبیعی به سلول‌های بیمار، مداخله کرده و روند پیشرفت بیماری را متوقف کنند.

دکتر تیفانی تروسو-ساندووال، متخصص سرطان‌شناسی بازنشسته مرکز سرطان مموریال اسلون کترینگ که در این پژوهش مشارکت نداشته، به دیلی‌میل گفت: «این یافته با بازمهندسی سلول‌های سرطانی به جای نابودی آن‌ها، رویکردی نوین در درمان سرطان ارائه می‌دهد.»

برای درک بهتر این وضعیت دوگانه، دکتر تروسو-ساندووال مثال جالبی زد.

او توضیح داد: «تصور کنید آب در دمای ۱۰۰ درجه سانتی‌گراد در حال جوشیدن است، لحظه‌ای گذرا وجود دارد که آب نه کاملا مایع است و نه کاملا بخار. این مرحله درست مانند مرحله‌ای در پیشرفت سرطان است که سلول‌ها هم‌زمان خصوصیات سالم و سرطانی را دارا هستند.»

با درک این مرحله گذار حساس، می‌توان به اهمیت یافته جدید پی برد.

در حال حاضر، روش‌های سنتی درمان سرطان بر خارج کردن سلول‌های سرطانی از طریق جراحی یا از بین بردن آن‌ها با پرتودرمانی یا شیمی‌درمانی متمرکز هستند اما این پژوهش تازه به نظر می‌رسد راهکار سومی را کشف کرده که می‌تواند به بیماران سرطانی کمک کند سلول‌های سالم خود را بازیابند.

100%

به گفته دکتر تروسو-ساندووال، این روش می‌تواند به توسعه درمان‌هایی با عوارض کمتر نسبت به پرتودرمانی و شیمی‌درمانی منجر شود.

درمان‌های سنتی به تمام سلول‌های بدن، نه فقط سلول‌های سرطانی، آسیب می‌رسانند که منجر به عوارض جانبی شدید می‌شود و حتی ممکن است بیمار را مستعد ابتلا به بیماری‌های دیگر، از جمله سرطان‌های جدید کند.

علاوه بر این، یافته‌های تازه می‌تواند راهی برای پیشگیری از تشکیل تومور در بیماران پرخطر باشد، مانند افرادی که سابقه خانوادگی این بیماری را دارند یا به‌طور مداوم در معرض مواد سرطان‌زا مثل دود سیگار قرار می‌گیرند.

به گفته دکتر تروسو-ساندووال، این پژوهش همچنین به ما شناخت عمیق‌تری از زیست‌شناسی سرطان می‌دهد که می‌تواند راه را برای توسعه درمان‌های شخصی‌سازی شده هموار کند.

نحوه عملکرد روش جدید

باید توجه داشت که سرطان به یک‌باره ایجاد نمی‌شود. این بیماری به‌تدریج و در اثر انباشت تغییرات در دی‌ان‌ای سلول‌های سالم در طول زمان رخ می‌دهد که نحوه عملکرد سلول‌ها را دگرگون می‌کند.

پس از تجمع این تغییرات مخرب، سلول‌های سالم به سلول‌های سرطانی با عملکرد غیرطبیعی تبدیل می‌شوند.

در این فرآیند تدریجی، پژوهشگران موفق شدند یک پنجره زمانی کلیدی را شناسایی کنند. پنجره‌ای که سلول‌ها وارد یک «حالت انتقال بحرانی» می‌شوند که هم‌زمان دارای ویژگی‌های سلول‌های سالم و سرطانی هستند.

با استفاده از یک سیستم شناسایی مولکولی، تیم تحقیقاتی توانست سازوکارهای کنترل‌کننده این گذار را هدف قرار داده و مسیرهای مولکولی را شناسایی کنند که سلول‌ها را به حالت طبیعی بازگردانند.

100%

دکتر کوانگ-هیون چو، استاد زیست‌شناسی در موسسه پیشرفته علوم و فناوری کره و از نویسندگان این پژوهش گفت: «این مطالعه برای نخستین بار جزییات تغییرات درون سلولی در فرآیند سرطان‌زایی را در سطح شبکه ژنتیکی آشکار کرده ‌است، فرآیندی که تا به امروز رازآلود باقی مانده بود.»

دکتر چو افزود که این اولین پژوهشی است که نشان می‌دهد کلید اصلی برای معکوس کردن روند تشکیل تومور، درست در همین لحظه تغییر نهفته است.

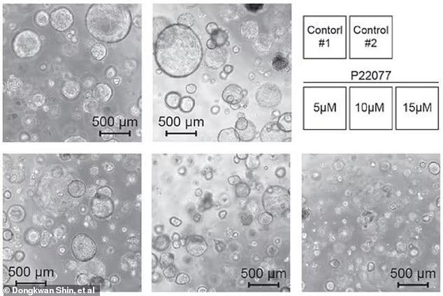
چو و همکارانش این روش درمانی جدید را روی مینی-تومورهای رشد یافته در آزمایشگاه (ارگانوئیدها) آزمایش کردند که از سلول‌های سرطان روده بزرگ ساخته شده بودند.

در جریان این پژوهش، دانشمندان آنزیمی را شناسایی کردند که نقش کلیدی در رشد سرطان داشت.

این آنزیم از پروتئین‌های سرطان‌زا محافظت می‌کند و نمی‌گذارد آن‌ها تجزیه شوند و از بین بروند. در نتیجه، این پروتئین‌ها در سلول باقی می‌مانند و به رشد تومور کمک می‌کنند.

هنگامی که محققان فعالیت این آنزیم را مسدود کردند، اتفاق جالبی افتاد؛ بدون محافظت این آنزیم، پروتئین‌های سرطان‌زا شروع به تجزیه شدن کردند و از بین رفتند.

در نتیجه، سلول‌های سرطانی (ارگانوئیدها) نه تنها از رشد باز ایستادند، بلکه به حالت طبیعی و سالم خود بازگشتند.

به گفته دکتر تروسو-ساندووال، اگرچه مفهوم «تمایز سلولی»، فرآیند تغییر حالت سلول‌ها، موضوع تازه‌ای نیست، اما سازوکاری که چو و تیمش کشف کرده‌اند و کاربرد آن در درمان سرطان، کاملا نوآورانه است.